What Is Restorative Dentistry? To put it simply, restorative dentistry involves
any dental process which focuses on repairing or restoring damaged oral
structures. This can include procedures such as fillings, bridges, and implants
among many other services.
What is Preventive dentistry? Preventive dentistry is dental care that helps
maintain good oral health. It's a combination of regular dental check-ups along
with developing good habits like brushing and flossing. Taking care of your
teeth starts early in childhood and extends throughout the course of your life.
Dental jewellery refers to decorative elements, typically gems or decals, that are affixed to the surface of teeth using safe and non-invasive methods. It is a creative and temporary way to enhance one's smile and express personal style.
Both crowns and most bridges are fixed prosthetic devices. Unlike removable devices such as dentures, which you can take out and clean daily, crowns and bridges are cemented onto existing teeth or implants and can only be removed by a dentist.
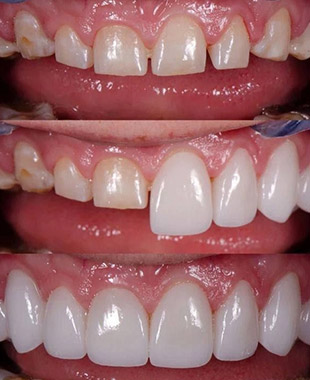
What is cosmetic dentistry? Cosmetic dentistry focuses on improving the appearance and aesthetics of your smile. Common cosmetic dental procedures include teeth whitening, dental bonding and veneers.
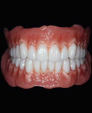
What is a BPS denture?Commonly referred to as 'BPS dentures', the BPS® (Biofunctional Prosthetic System) is a system of professional expertise and quality
products that are the standard for aesthetics, comfort, fit and function.
What are conventional dentures? A conventional denture is made after all teeth have been extracted and the tissues (gums) have healed. An immediate denture
is fabricated and inserted immediately after the teeth are extracted and the
tissues are allowed to heal under the denture.
Root canal is a treatment to repair and save a badly damaged or infected tooth instead of removing it. The term "root canal" comes from cleaning of the canals inside a tooth's root. Decades ago, root canal treatments often were painful.
Conscious sedation is a technique whereby patients undergo a drug-induced depression of their consciousness but retain the ability to self-ventilate, maintain protective reflexes, and respond to verbal or light-pressure stimuli. It is a valuable tool often used in dentistry due to its anxiolytic effects.
Begin your child's dental care journey early – even before their first tooth emerges! Use a soft, damp cloth to clean their gums gently. Once teeth start coming in, use a child-sized toothbrush with soft bristles and a small amount of fluoride toothpaste (about the size of a grain of rice) twice a day.
Wisdom teeth — the third molars in the back of the mouth — may not need to
be taken out if they are:
Geriatric dentistry or Gerodontics is the delivery of dental care to older adults involving the diagnosis, prevention, and treatment of problems associated with normal ageing and age-related diseases as part of an inter-disciplinary team with other health care professionals.
What is dental gum surgery? With this common procedure, surgeons make small cuts in your gum and lift a section of tissue back. Then, they remove tartar and bacteria from your tooth and from under your gums. The gums are sutured back, so the tissue fits firmly around your teeth.
Ideal teeth alignment should involve the following: Upper teeth slightly
overlapping the lower teeth. Points of the molars fitting into the grooves of the opposite molars. Symmetry between the upper and lower jaw lines. Top and
bottom incisors that meet in a straight line.
What is the age limit for teeth braces?
Although any individual with healthy teeth and gums can undergo orthodontic treatment at any age, we must understand that the most suitable age is
between 12 years to 14 years.